Looking for a Bright, White, Sexy Smile?

We can help you get a Bright, White Smile. The Sexy is on you!

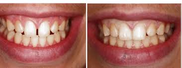
Veneers

Veneers let you smile like a Hollywood Star! One of the easiest ways to treat teeth that are too small, too big, or have uneven surfaces is by placing veneers over the teeth. It is very common for people to have imperfect teeth, either oddly shaped teeth, chipped teeth, crooked teeth, teeth with small holes in them, or an inappropriate sized tooth or teeth that have an odd appearance. Veneers, ceramic, porcelain or plastic, are placed over the front teeth to change color and/or shape of the teeth. A straighter, whiter, fuller smile is possible without braces and usually in two visits with veneers. These porcelain restorations are lifelike in strength, beauty and function.


Call Today for a Free Consultation!


KöR® Whitening System

KöR® Whitening whitens teeth dramatically, often lightening them 16 shades or more. Although everyone is different, with the proper KöR Whitening System, all teeth will have stunning results. KöR even whitens tetracycline-stained teeth significantly, which was previously thought to be impossible! 

Before

Free Whitening Trays!

After


Powr.io content is not displayed due to your current cookie settings. Click on the cookie policy (functional and marketing) to agree to the Powr.io cookie policy and view the content. You can find out more about this in the Powr.io privacy policy.

Composite Bonding

With a little dental contouring, you can make a huge difference in the way you feel about your smile. Tooth reshaping, or tooth sculpting, is a safe and conservative way to improve your smile. Teeth may become weaker if large amounts of enamel are removed, tooth reshaping should be limited to minor changes or combined with veneers or bonding for the best smile.

Make your appointment today!